Página de inicio

Te doy la bienvenida a mi nuevo blog sobre Salud

  • NUEVA RX

    5 julio, 2020 por

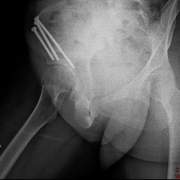
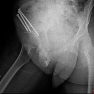
    Hola de nuevo a todos!!! Como siempre os digo, lo siento por no tener esto más al día pero, a parte de no tener mucho que contar, estoy a tope de trabajo, mañana y tarde y me es muy complicado llevarlo todo!!!! Como bien sabéis, la cadera que me operé primero, había empezado a darme… Leer más

  • Dichosa cuarentena

    30 abril, 2020 por

    Buenas a todos!! Sé que hace tiempo que ni escribo por aquí ni por Instagram. Esta historia del Covid me tocó un poco más de cerca y me quedé un poco chafada.He tenido que posponer mi boda y me estoy mentalizando de que el día 11 de Mayo vuelvo a la clínica… Reincorporación maravillosa llena… Leer más

Ver todas las entradas

Sigue mi blog

Recibe nuevo contenido directamente en tu bandeja de entrada.

Diseña un sitio como este con WordPress.com
Comenzar